شراء الخدمة الآن
شراء الخدمة

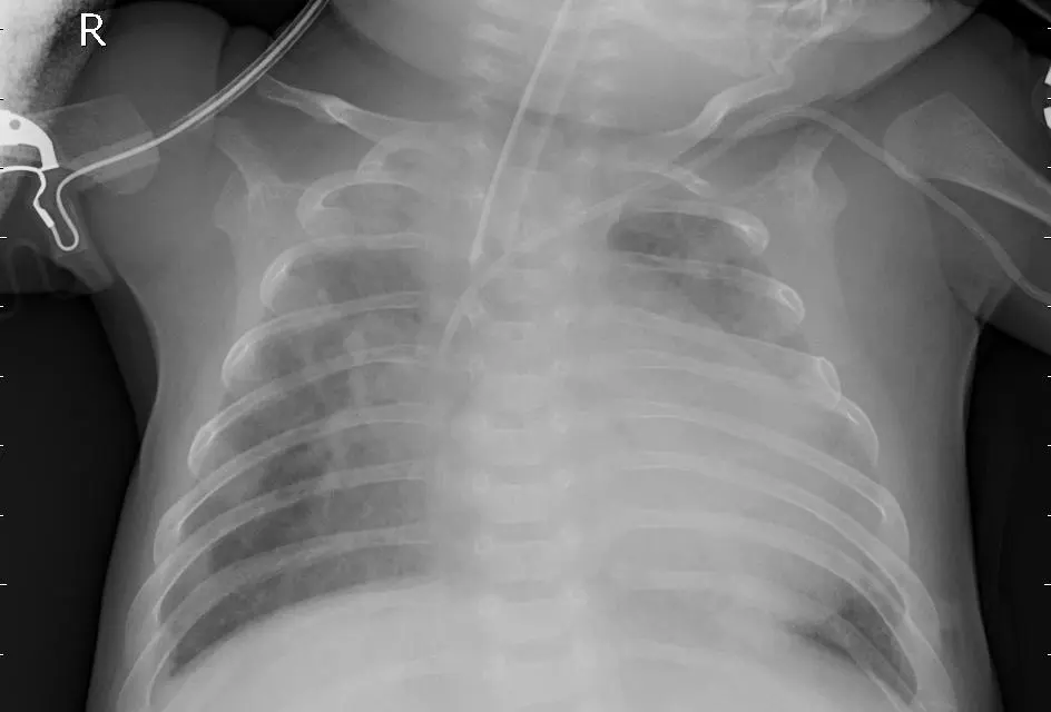
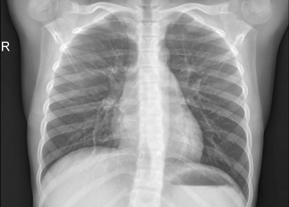
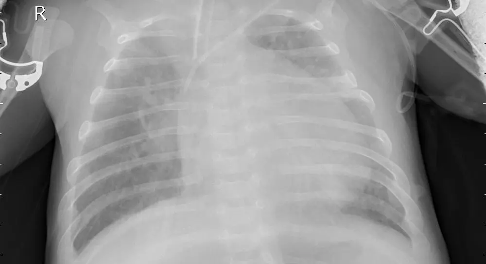
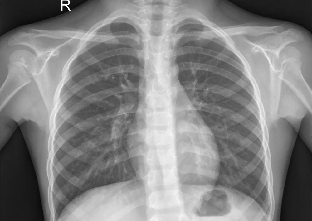
نموذج ذكاء اصطناعي باستخدام تقنيات Deep Learning لتحليل صور الأشعة الصدرية (Chest X-Ray) واكتشاف الإصابة بالالتهاب الرئوي (Pneumonia). المشروع يعتمد على شبكة CNN مدربة لتحليل الصور الطبية بدقة، مع توفير واجهة ويب بسيطة باستخدام Flask لرفع صورة الأشعة والحصول على النتيجة مباشرة. ما ستحصل عليه: * كود المشروع كامل بلغة Python * نموذج الذكاء الاصطناعي المدرب * تطبيق Flask لتحليل الصور * شرح طريقة تشغيل المشروع

شراء الخدمة الآن
شارك
بطاقة الخدمة
التقييمات
سعر الخدمة
5.00 $
مدة التسليم
1 أيام
بائع الخدمة
Yusuf Samir
Yusuf Samir
تعليم الاله
شراء الخدمة الآن
شارك
مركز المساعدة