نظام ذكاء اصطناعي متطور لتجزئة أورام الدماغ (Swin-UNet) من بيانات ضخمة (116 جيجابايت)

نظام ذكاء اصطناعي متطور لتجزئة أورام الدماغ (Swin-UNet) من بيانات ضخمة (116 جيجابايت) نظام ذكاء اصطناعي متطور لتجزئة أورام الدماغ (Swin-UNet) من بيانات ضخمة (116 جيجابايت)
تفاصيل العمل

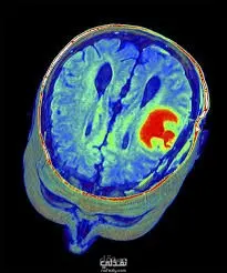
نبذة عن المشروع: تطوير نظام تعلم عميق متكامل ودقيق لتحديد وتقسيم أورام الدماغ من صور الرنين المغناطيسي (MRI) متعددة القنوات. تم تصميم النظام للتعامل مع تحديات البيانات الطبية المعقدة، وبناء خط أنابيب (Data Pipeline) قادر على معالجة واستيعاب مجموعة بيانات ضخمة جداً بكفاءة عالية. التحدي التقني: تمثل التحدي الأكبر في معالجة مجموعة بيانات طبية ضخمة بحجم 116 جيجابايت، تتكون من صور ثلاثية الأبعاد (3D NIfTI) بأربع قنوات مختلفة (T1, T1ce, T2, FLAIR)، وتجهيزها بكفاءة لتدريب نموذج الذكاء الاصطناعي دون استنفاد موارد النظام، مع حل مشكلة عدم توازن الفئات (Class Imbalance) في الأورام. التقنيات والخطوات المتبعة: هندسة البيانات الضخمة (Data Engineering): معالجة الـ 116 جيجابايت من البيانات الطبية من خلال تطبيق تقنية (Z-Score Normalization) على مستوى حجم الدماغ بالكامل لتوحيد التباين، واستخراج الشرائح ثنائية الأبعاد (2D Slices) بكفاءة لتسريع عملية التدريب. معمارية المحولات (Swin-UNet): بناء نموذج يعتمد بالكامل على تقنية (Vision Transformers) بدلاً من الشبكات الالتفافية التقليدية (CNNs)، مما ساعد في التقاط التفاصيل الدقيقة للسياق العام للورم بفضل آلية الانتباه (Shifted Window Attention). تحسين البيانات (Data Augmentation): استخدام مكتبة Albumentations لتطبيق تحويلات هندسية متقدمة تناسب الأنسجة الطبية (مثل Elastic Transforms و Grid Distortions) لزيادة متانة النموذج ومنع الحفظ الأعمى. دالة الخسارة المخصصة: استخدام (Categorical Focal Loss) لإجبار النموذج على التركيز على الأجزاء الصعبة من الورم والتغلب على مشكلة عدم توازن الفئات، وتقييم الدقة باستخدام مقياس التطابق (Dice Score). المعالجة اللاحقة (Post-Processing): برمجة خوارزميات الفلاتر المورفولوجية لتنظيف النتائج وسد الفجوات الخاطئة (False Negatives) بحجم أقل من 300 بكسل بذكاء، مما رفع من دقة التحديد النهائي بشكل ملحوظ دون التأثير على الأنسجة الميتة الحقيقية (Necrotic Core). الأدوات والتقنيات المستخدمة: Python, TensorFlow / Keras, OpenCV, Albumentations, Nibabel, Scikit-Image.

مهارات العمل
شارك
بطاقة العمل
تاريخ النشر
منذ 5 أيام
المشاهدات
11
المستقل
Adel Hefny
Adel Hefny
Ai Fullstack enginee
طلب عمل مماثل
مهارات العمل
شارك
مركز المساعدة