برمجة وتدريب نموذج ذكاء اصطناعي (Machine Learning) لاكتشاف وتصنيف أورام المخ برمجة وتدريب نموذج ذكاء اصطناعي (Machine Learning) لاكتشاف وتصنيف أورام المخ برمجة وتدريب نموذج ذكاء اصطناعي (Machine Learning) لاكتشاف وتصنيف أورام المخ برمجة وتدريب نموذج ذكاء اصطناعي (Machine Learning) لاكتشاف وتصنيف أورام المخ برمجة وتدريب نموذج ذكاء اصطناعي (Machine Learning) لاكتشاف وتصنيف أورام المخ
تفاصيل العمل

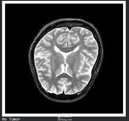
مشروع متكامل في مجال الذكاء الاصطناعي (Machine Learning) يهدف إلى دعم التشخيص الطبي من خلال تحليل صور الرنين المغناطيسي (MRI) لاكتشاف وتصنيف أورام الدماغ بدقة عالية. أبرز ما تم تنفيذه في المشروع: معالجة البيانات (Data Preprocessing): تنظيف وتحسين الصور الطبية لزيادة الوضوح وتقليل الضوضاء لضمان دقة النتائج. بناء النموذج (Modeling): استخدام تقنيات التعلم العميق (Deep Learning) وخوارزميات الـ CNN لبناء نموذج قادر على التمييز بين أنواع الأورام المختلفة. التقييم (Evaluation): اختبار النموذج والتأكد من تحقيقه لمعدلات دقة (Accuracy) و Precision عالية لتجنب الأخطاء في التشخيص. Optimization: تحسين أداء الموديل ليكون خفيفاً وسريعاً في استخراج النتائج.

شارك
بطاقة العمل
تاريخ النشر
منذ 4 ساعات
المشاهدات
3
المستقل
Sherif Tamer
Sherif Tamer
مهندس ميكاترونيكس
طلب عمل مماثل
شارك
مركز المساعدة