Histopathologic Cancer Detection using Deep Learning (PyTorch) Histopathologic Cancer Detection using Deep Learning (PyTorch)
تفاصيل العمل

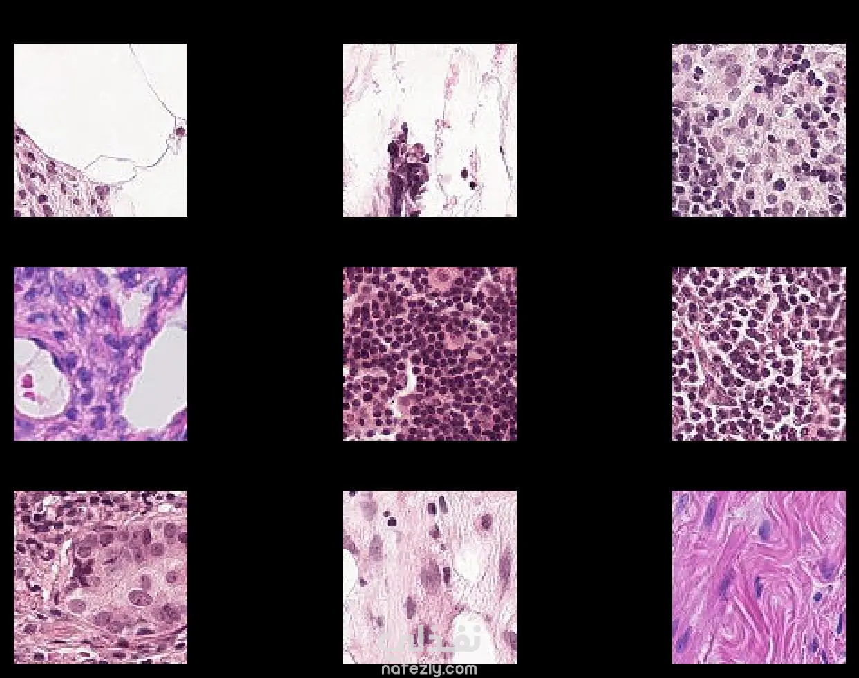
قمت بتطوير نموذج ذكاء اصطناعي باستخدام تقنيات التعلم العميق لتحليل صور الأنسجة الطبية واكتشاف وجود الخلايا السرطانية. يعتمد المشروع على مجموعة بيانات Histopathologic Cancer Detection التي تحتوي على أكثر من 220 ألف صورة مجهرية لعينات أنسجة. قمت بإنشاء خط معالجة بيانات متكامل يتضمن تحميل الصور، موازنة البيانات، وتطبيق تقنيات Data Augmentation لتحسين قدرة النموذج على التعميم. تم بناء نظام التدريب باستخدام مكتبة PyTorch مع تصميم Dataset مخصص لمعالجة الصور الطبية، بالإضافة إلى إعداد DataLoader لتقسيم البيانات إلى مجموعة تدريب وتحقق. يتضمن المشروع: * معالجة وتنظيم بيانات الصور الطبية * إنشاء Custom Dataset باستخدام PyTorch * تطبيق تقنيات Data Augmentation * تدريب نموذج Deep Learning لتصنيف الصور * تقييم أداء النموذج باستخدام بيانات التحقق التقنيات المستخدمة: Python – PyTorch – Computer Vision – Deep Learning – Medical Image Analysis

شارك
بطاقة العمل
تاريخ النشر
منذ 3 أسابيع
المشاهدات
28
المستقل
طلب عمل مماثل
شارك
مركز المساعدة