نظام ذكاء اصطناعي لتصنيف 27 نوعاً من أورام الدماغ باستخدام الأشعة الرنين المغناطيسي (MRI).

نظام ذكاء اصطناعي لتصنيف 27 نوعاً من أورام الدماغ باستخدام الأشعة الرنين المغناطيسي (MRI). نظام ذكاء اصطناعي لتصنيف 27 نوعاً من أورام الدماغ باستخدام الأشعة الرنين المغناطيسي (MRI). نظام ذكاء اصطناعي لتصنيف 27 نوعاً من أورام الدماغ باستخدام الأشعة الرنين المغناطيسي (MRI). نظام ذكاء اصطناعي لتصنيف 27 نوعاً من أورام الدماغ باستخدام الأشعة الرنين المغناطيسي (MRI). نظام ذكاء اصطناعي لتصنيف 27 نوعاً من أورام الدماغ باستخدام الأشعة الرنين المغناطيسي (MRI). نظام ذكاء اصطناعي لتصنيف 27 نوعاً من أورام الدماغ باستخدام الأشعة الرنين المغناطيسي (MRI). نظام ذكاء اصطناعي لتصنيف 27 نوعاً من أورام الدماغ باستخدام الأشعة الرنين المغناطيسي (MRI). نظام ذكاء اصطناعي لتصنيف 27 نوعاً من أورام الدماغ باستخدام الأشعة الرنين المغناطيسي (MRI). نظام ذكاء اصطناعي لتصنيف 27 نوعاً من أورام الدماغ باستخدام الأشعة الرنين المغناطيسي (MRI). نظام ذكاء اصطناعي لتصنيف 27 نوعاً من أورام الدماغ باستخدام الأشعة الرنين المغناطيسي (MRI). نظام ذكاء اصطناعي لتصنيف 27 نوعاً من أورام الدماغ باستخدام الأشعة الرنين المغناطيسي (MRI). نظام ذكاء اصطناعي لتصنيف 27 نوعاً من أورام الدماغ باستخدام الأشعة الرنين المغناطيسي (MRI).
تفاصيل العمل

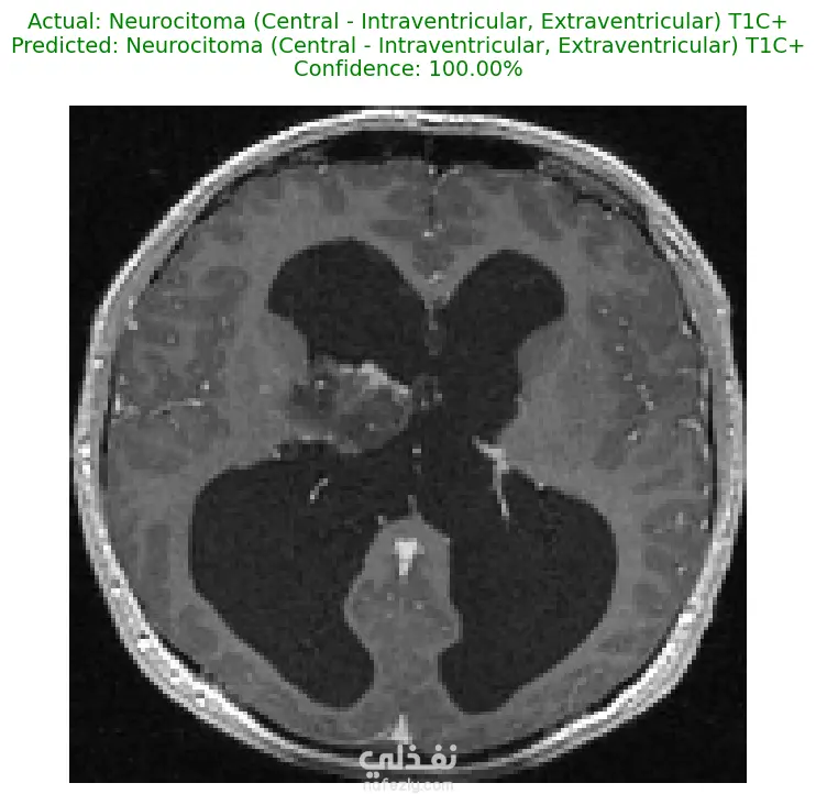
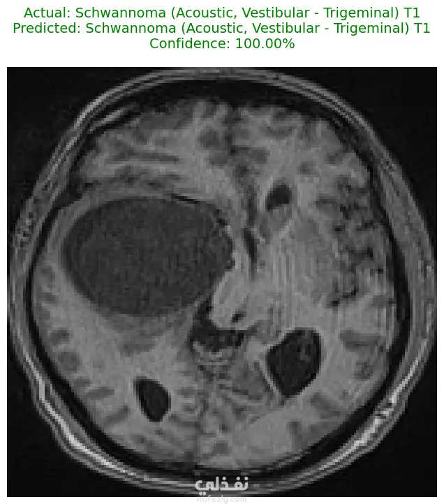
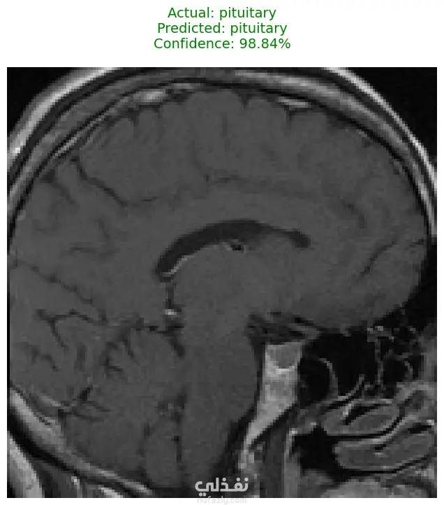
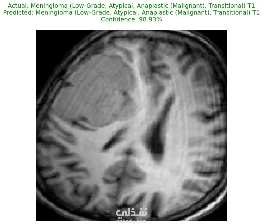
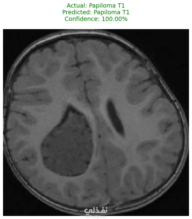
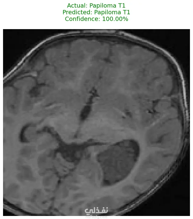
الوصف: قمت بتطوير نموذج تعلم عميق (CNN) قادر على التمييز بين 27 فئة مختلفة من الأورام والحالات الطبيعية بدقة تصل إلى 93%. شمل المشروع مراحل معالجة البيانات الضخمة، تنظيفها وموازنتها، وتصميم معمارية مخصصة لضمان الكفاءة العالية وتقليل استهلاك الذاكرة. المميزات التقنية: دقة استثنائية: حقق النموذج دقة تصل إلى 93% على بيانات التحقق (Validation Accuracy). معالجة البيانات الضخمة: تم العمل على قاعدة بيانات ضخمة، مع تطبيق استراتيجيات موازنة البيانات (Data Balancing) لضمان عدم انحياز الموديل. معمارية مخصصة: تم تصميم شبكة CNN تدعم تقنيات Batch Normalization لتسريع التعلم و Global Average Pooling لتقليل استهلاك الذاكرة وضمان استقرار النموذج. معالجة الصور: استخدام تقنيات OpenCV لقص الصور (Cropping) وإزالة الهوامش غير الضرورية لتركيز الموديل على منطقة الورم فقط. الأدوات والتقنيات المستخدمة: لغة البرمجة: Python. المكتبات الأساسية: TensorFlow / Keras. معالجة الصور: OpenCV & PIL. تحليل النتائج: Scikit-learn (Confusion Matrix & Classification Report). البيئة البرمجية: Google Colab (GPU Acceleration). النتائج المحققة: نموذج قادر على التعرف على أنواع نادرة من الأورام بدقة عالية. تقرير فني يوضح أداء الموديل لكل فئة (Precision & Recall). ملف نموذج جاهز للنشر (Deployment) بصيغة keras الحديثة. يمكنكم الاطلاع على الكود المصدري كاملاً والرسوم البيانية لتقييم أداء النموذج عبر رابط GitHub المرفق، كما يتوفر رابط تحميل النموذج المدرب داخل ملف الشرح.

شارك
بطاقة العمل
تاريخ النشر
منذ 3 أسابيع
المشاهدات
15
المستقل
Ahmed Sameh
Ahmed Sameh
مهندس ذكاء اصطناعى
طلب عمل مماثل
شارك
مركز المساعدة