تصميم نماذج ذكاء اصطناعي لتشخيص حالات العمود الفقري من صور الرنين المغناطيسي

تصميم نماذج ذكاء اصطناعي لتشخيص حالات العمود الفقري من صور الرنين المغناطيسي تصميم نماذج ذكاء اصطناعي لتشخيص حالات العمود الفقري من صور الرنين المغناطيسي
تفاصيل العمل

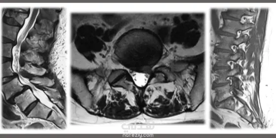
نموذج ذكاء اصطناعي لتحليل الرنين المغناطيسي للعمود الفقري القطني: يكتشف التغيرات التنكسية مبكرًا ويصنّف الحالات بدقة عالية. يحاكي أداء طبيب الأشعة من حيث التشخيص والرؤية الطبية. يولّد تقارير جاهزة للاستخدام السريري موثوقة وسريعة. يساهم في تحسين سرعة ودقة التشخيص بالمستشفيات ومراكز البحث، باستخدام أحدث تقنيات التعلم العميق

مهارات العمل
شارك
بطاقة العمل
تقييم المستقل
تاريخ النشر
منذ 4 أسابيع
المشاهدات
23
المستقل
طلب عمل مماثل
مهارات العمل
شارك
مركز المساعدة