التعرف على ال (Pneumonia) -مرض رئوي- من خلال صور الاشعة التعرف على ال (Pneumonia) -مرض رئوي- من خلال صور الاشعة التعرف على ال (Pneumonia) -مرض رئوي- من خلال صور الاشعة التعرف على ال (Pneumonia) -مرض رئوي- من خلال صور الاشعة
تفاصيل العمل

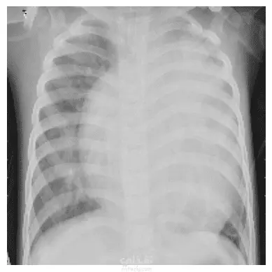
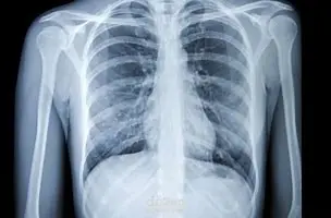
في هذا المشروع قمت بتصميم وتدريب شبكة عصبية تلافيفية (CNN) مخصصة لاكتشاف الإصابة بالتهاب الرئة من صور الأشعة الصدرية (Chest X-Rays). بلغت دقة عاليّة (Precision تصل إلى 95٪) في تمييز الحالات الإيجابية بدقة من بين الصور المتاحة. خطوات المشروع تشمل: استيراد وتجهيز بيانات الصور (تأمين التوازن، تقسيم بيانات التدريب والاختبار). بناء بنية مخصصة لشبكة CNN، تشمل طبقات تلافيفية، تجميع (Pooling)، التطبيع (Batch Normalization) وطبقات تسلسلية نهائية. تدريب النموذج، ضبط المعاملات (hyperparameters) لتحسين الأداء. تقييم النموذج باستخدام مقاييس مثل Precision، Recall، Accuracy وغيرها. تحليل النتائج وإظهار الصور التي تم التصنيف فيها بدقة أو أخطأ النموذج لتوضيح نقاط القوة والضعف. الهدف العام للمشروع: تقديم نموذج قوي ودقيق يمكن استخدامه للمساعدة في التشخيص المبكر للحالات المحتملة من الالتهاب الرئوي، مما يسهم في تحسين السرعة والدقة في عملية الفحص الطبي.

شارك
بطاقة العمل
تاريخ النشر
منذ 3 أسابيع
المشاهدات
18
المستقل
Mahmoud Shaheen
Mahmoud Shaheen
مهندس ذكاء اصطناعي
طلب عمل مماثل
شارك
مركز المساعدة